Suboxone Lawsuit

Understanding the Suboxone Lawsuit

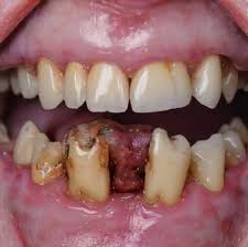
The Suboxone lawsuit focuses on claims that the medication has caused severe tooth decay, cavities, gum disease, and oral infections. Patients allege that the manufacturer, Indivior, failed to warn about these risks properly.

Individuals who used Suboxone sublingual film and developed significant dental injuries may be eligible for compensation through the Suboxone MDL (Multidistrict Litigation).

Allegations in the Suboxone Tooth Decay Lawsuit

  • Failure to warn about dental risks linked to Suboxone film.

  • Development of severe tooth decay, cavities, and gum issues.

  • Ongoing dental treatment, implants, and corrective care.

  • Negligence in protecting patients from known side effects.

Who Qualifies for the Suboxone Lawsuit?

You may qualify if you:

  • Took Suboxone sublingual film as prescribed.

  • Developed tooth decay, cavities, gum disease, or tooth loss.

  • Required dental treatment, surgery, or implants.

Suboxone Lawsuit Compensation

Compensation may include coverage for:

  • Dental treatment and surgery

     

  • Pain and suffering from tooth loss

     

  • Lost wages due to treatment

     

  • Other related damages

     

Suboxone Use Linked to Tooth Decay

Suboxone is commonly used to treat opioid addiction by combining buprenorphine and naloxone. It typically comes in the form of a dissolvable film, which is placed under the tongue or inside the cheek for several minutes.

Because buprenorphine and naloxone are acidic when dissolved, Suboxone film can weaken your enamel and lead to tooth decay or other issues.

“Since buprenorphine was approved, we identified 305 cases of dental problems (131 cases classified as serious) with buprenorphine medicines dissolved in the mouth.”
– U.S. Food and Drug Administration (FDA)

The actual number of patients who’ve experienced dental issues after using Suboxone and other buprenorphine medicines may be much higher. Not all dental issues have been reported.

In January 2022, the FDA issued a formal warning about buprenorphine dental risks. Despite this, manufacturers failed to take action and address these concerns — until the FDA required them to in June 2022.

At Sokolove Law, we’ve secured over $1.6 Billion for patients injured by dangerous drugs and medical devices. Let our Suboxone attorneys fight for you.

Which Buprenorphine Medications Are Linked to Tooth Decay?

Both generic and brand name versions of buprenorphine medications that dissolve in the mouth may put users at an increased risk of dental issues.

Buprenorphine medications include: 

  • Belbuca®
  • Bunavail®
  • Cassipa®
  • Suboxone
  • Subutex®
  • Zubsolv®

How to File a Claim

      1. Fill out the confidential evaluation form below

      2. Provide medical records and details of your implant and complications

      3. Speak with a specialized mesh lawsuit attorney

      4. No upfront fees—attorneys work on a contingency basis

      5. Begin your path to justice and potential compensation


  • The core allegation is that the manufacturer, Indivior, failed to adequately warn patients and doctors that the Suboxone sublingual film (dissolved under the tongue) can cause severe dental injuries, including tooth decay, cavities, gum disease, and tooth loss, due to its acidic nature.

  • The primary defendant in the Suboxone lawsuit is Indivior, the company that manufactures and markets the Suboxone sublingual film.

  • To qualify, individuals must have used the Suboxone sublingual film and developed significant dental problems such as:

    • Severe tooth decay and cavities.

    • Gum disease or oral infections.

    • Tooth loss, fractures, or erosion.

    • A need for extensive dental treatment, surgery, or implants.

  • No, the Suboxone litigation is a Multidistrict Litigation (MDL). While an MDL (known as Suboxone MDL 3092 in the Northern District of Ohio) consolidates many individual lawsuits before one judge for efficient pre-trial proceedings, each claimant's case remains separate. Unlike a class action where all plaintiffs share one outcome, an MDL allows each person to pursue individual compensation based on their unique injuries and damages.

  • As of late 2025, there have been no global settlements or jury verdicts announced for the tooth decay claims, so there is no confirmed average payout. However, legal experts project that compensation for severe cases involving extensive dental work could potentially range from $\$150,000$ to over $\$500,000$, with less severe cases settling for tens of thousands of dollars. Final amounts will depend on the severity of the dental damage, medical costs, and pain and suffering.

     

  • Yes. Every state has a legal time limit, called a Statute of Limitations, for filing a product liability lawsuit. This deadline starts running after you discover your injury and its connection to the drug. Because this deadline can pass quickly, it is crucial to contact an attorney immediately to preserve your right to file a claim.

After using Suboxone, I experienced severe tooth decay. The lawsuit gave me hope for covering my dental bills.

Michael R.
Iowa

“Suboxone helped my recovery, but it ruined my teeth. I’m seeking compensation for implants and treatment.”

Sarah J.
California

“I suffered painful cavities after Suboxone. Joining the lawsuit was the best step I took.”

LJames T.
Florida

“The dental work I needed has been costly. This lawsuit finally holds the company accountable.”

Maria G.
Florida

“The Suboxone lawsuit is helping victims like me who were never warned about these risks.”

David K.
Florida
Excellent

Tracking Your Health: Top Fitness Tracker Review

This review covers the top features, benefits, and drawbacks of the latest fitness trackers, helping you make an informed decision on your next purchase.

    4.4 / 5

    • Design and Comfort
        4/5 Excellent

        The fitness tracker is sleek and comfortable to wear, making it suitable for all-day use.

      • Tracking Accuracy
          5/5 Amazing

          Provides accurate tracking of steps, heart rate, and sleep patterns.

        • Battery Life
            4/5 Excellent

            Offers an impressive battery life that lasts up to a week on a single charge.

          • User Interface
              5/5 Amazing

              The user interface is intuitive and easy to navigate.

            • App Integration
                4/5 Excellent

                Seamlessly integrates with popular fitness apps for comprehensive health monitoring.

              Pros
              • Sleek design
              • Accurate tracking
              • Long battery life
              Cons
              • Limited customization options
              • Higher price point